Bilimsel bir ilk olarak, Güney Koreli bilim adamları, mikroskopik seviyedeki fenomenler arasındaki etkileşimlerin birbirini etkilediği plazmada “çok ölçekli birleştirme” nin deneysel kanıtını sağlamıştır. Bulgular nükleer füzyon araştırmalarının ilerletilmesine yardımcı olabilir ve evren hakkındaki temel anlayışımızı geliştirebilir.
Plazma genellikle katı, sıvı ve gaz halinden farklı olan maddenin dördüncü durumu olarak adlandırılır. Bu eşsiz durum, bir gazı o kadar yüksek sıcaklıklara ısıttığınızda, elektronların atomlarından uzaklaştırıldığı ve serbest yüzen pozitif ve negatif yüklü parçacıkların bir karışımını oluşturduğunda oluşur. Bu maddenin bu durumu evrendeki en bol durumdur ve içinde füzyon reaksiyonları gerçekleşir.
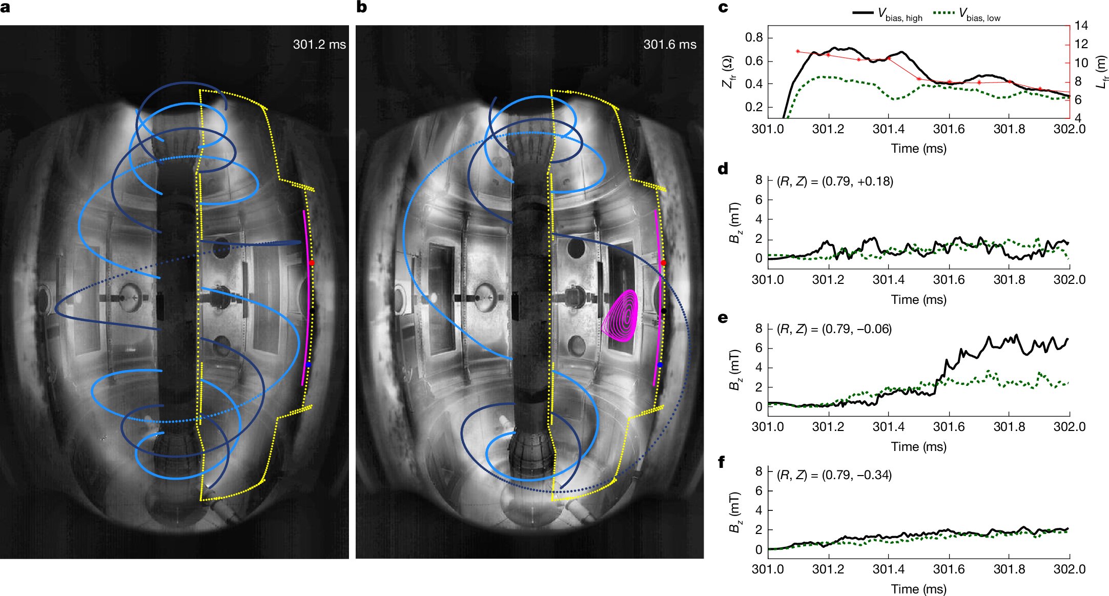
Çok ölçekli birleştirmenin kanıtlanması plazma fiziğinde uzun süredir devam eden bir zorluk olmuştur. Ancak yayınlanan bir çalışmada DoğaSeul Ulusal Üniversitesi’nden Dr. Jong Yoon Park ve Asya Pasifik Teorik Fizik Merkezi’nden (APCTP) Dr. Young Dae Yoon liderliğindeki bir araştırma ekibi, mikroskopik fenomenlerin tüm plazma sistemini etkileyen makroskopik değişiklikleri nasıl indüklediğini kanıtladı.
Araştırmacılar, deneylerini yapmak için Seul Ulusal Üniversitesi’nde çok yönlü deney küresel torusunu (yelek) kullandılar. Mikro manyetik türbülansı indüklemek için iki akı halatı oluşturan bir 3D sarmal konfigürasyonda manyetik çizgiler boyunca iki ayrı elektron ışını başlattılar.
Sonuçlar, bu mikro türbülansın, manyetik alan çizgilerinin yeniden yapılandırıldığı ve plazmanın yapısını değiştiren manyetik yeniden bağlanma adı verilen bir sürece yol açtığını gösterdi.
“Sonuçlarımız doğrudan MHD olmayan (manyetohidrodinamik) kinetik süreçlerin küresel MHD değişikliklerini indüklemek için birden fazla ölçekte nasıl ilerlediğini doğrudan açıklar.”
Ekip ayrıca, Kore Fusion Energy Institute’daki bir süper bilgisayar üzerinde parçacık simülasyonları çalıştırarak bulgularını kontrol etti ve doğruladı.
Bu önemli bir atılımdır, çünkü bilim adamları bir laboratuvarda ilk kez partikül seviyesindeki değişikliklerin plazmanın genel yapısını etkileyebileceğini göstermiştir.
Uzay ve enerji araştırması için çıkarımlar
Araştırma bulgularının çeşitli alanlarda geniş kapsamlı etkileri vardır. Manyetik yeniden bağlanma, güneş parlamaları ve jeomanyetik fırtınalar gibi patlayıcı fenomenleri yönlendirdiğinden, sonuçlar uzay havası anlayışımızı geliştirmeye yardımcı olabilir. Bunlar burada yeryüzündeki uydulara ve güç şebekelerine zarar verebilir ve bu olaylar hakkında daha fazla bilgi edinmek bilim adamlarının daha iyi modellemelerine ve bunları tahmin etmelerine yardımcı olabilir.
Ek olarak, çalışma bizi temiz enerji için uygun bir güç kaynağı olmaya bir adım daha yaklaştırmak için stabil nükleer füzyon teknolojilerinin geliştirilmesine yardımcı olabilir.
Yazarımız Paul Arnold tarafından yazılmış, Gaby Clark tarafından düzenlenen ve Robert Egan tarafından gerçekleştirilmiş ve gözden geçirilen bu makale dikkatli insan çalışmasının sonucudur. Bağımsız bilim gazeteciliğini canlı tutmak için sizin gibi okuyuculara güveniyoruz. Bu raporlama sizin için önemliyse, lütfen bir bağış (özellikle aylık) düşünün. Alacaksın reklamsız bir teşekkür olarak hesap.



